Hemen Yaz Haritayı Aç
Dijital Diş Kliniği · İstanbul

Sağlıklı gülüşler için şeffaf, konforlu ve hızlı tedavi akışı

Uzman hekimler, 3D planlama stüdyosu ve sakin atmosferimizle implanttan aligner’a tüm süreçleri aynı çatı altında yönetiyoruz.

Gülüş Tasarımı Kişiye özel 3D mock-up onayı
Hijyen Protokolü ISO 9001 sterilizasyon
Randevu Planla
5.200+

Tamamlanan vaka

24/7

Dijital konsültasyon

4.9/5

Google yorumu

Prestij Dental uzman hekim
1.

WhatsApp ön görüşme

2.

3D analiz & planlama

3.

Konforlu tedavi & takip

Yeni Klinik Akışı

Duyusal tasarım, veriye dayalı karar ve ultra hijyen

Sessiz Teknoloji

Intraoral tarayıcılar, dijital ölçü masaları ve gürültüyü absorbe eden kabinler.

Hibrit İletişim

WhatsApp, video konsültasyon ve çok dilli koordinatör ekibi ile uçtan uca destek.

Biofilik Atmosfer

Doğal ışık, akustik paneller ve aromaterapi ile stres azaltan klinik kurgusu.

14+

Uzman hekim

3

Litespeed sunucu noktası

4.9/5

Google yorum skoru

Uzmanlıklar

Kişiye özel planlanan dijital tedavi modülleri

Robot Destekli İmplant

Guided surgery protokolleri, aynı gün geçici diş ve 3D baskı cerrahi plakları ile konforlu süreç.

  • CBCT tabanlı planlama
  • Plazma ile implant yüzey aktivasyonu
  • Post-op dijital takip

Şeffaf Plak & Aligner

AI hizalama yazılımı, mobil takip ve gamification içeren hasta uygulaması.

  • Haftalık sanal kontrol
  • 3D baskı plak üretimi
  • Çocuk & yetişkin planları

Dijital Gülüş Tasarımı

Fotoğrafik analiz, yüz simetri ölçümü ve dijital mock-up ile ön onaylı süreç.

  • Minimal invaziv preparasyon
  • CEREC destekli lamineler
  • Sosyal medya paketleri

Çocuk Diş Sağlığı

Sedasyonlu tedaviler, davranış yönetimi ve ebeveyn eğitim seansları.

  • Cam iyonomer dolgular
  • Özel oyun alanı
  • Beslenme koçluğu

Uzman Ekibimiz

Her tedavi adımında yanınızda olan multidisipliner ekip

Dt. Selin Duran

Dt. Selin Duran

Dijital gülüş tasarımı ve estetik restorasyon lideri.

Uzm. Dt. Murat Tan

Uzm. Dt. Murat Tan

Robot destekli implantoloji ve sedasyon protokolleri.

Dt. Can Kaya

Dt. Can Kaya

Şeffaf plak ortodonti ve çocuk diş hekimliği.

Koordinasyon ekibimizi tanıyın ve hekiminizi seçin.

Ekibi Gör

Tedavi Yolculuğu

Şeffaf, ölçülebilir ve modüler akış

01

Dijital Tanışma

WhatsApp veya video görüşme ile çok dilli koordinatörle ön bilgi.

02

3D Analiz

CBCT + foto stüdyosunda ölçümler, dijital mock-up sunumu.

03

Uygulama

Robot destekli cerrahi ünitelerde kişiye özel steril protokoller.

04

Aftercare

Litespeed sunuculu portal üzerinden kontrol ve gerçek zamanlı hatırlatmalar.

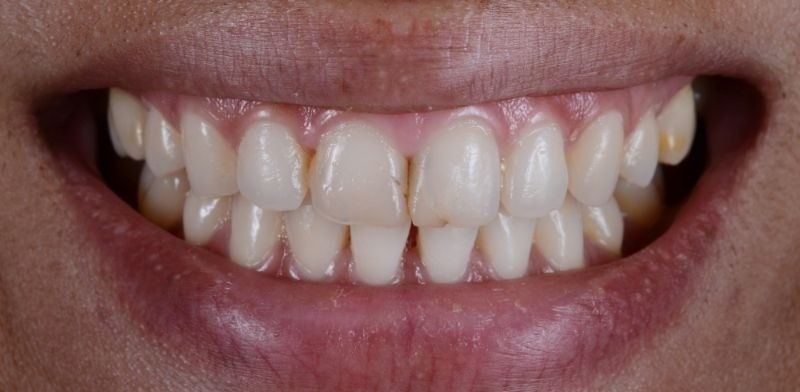
Öncesi / Sonrası

Gerçek vaka sonuçları

Önce - Gülüş tasarımı
Sonra - Gülüş tasarımı
Önce Sonra
Önce - Gülüş tasarımı
Sonra - Gülüş tasarımı
Önce Sonra

Görseller KVKK gereği klinik ziyareti sırasında detaylı olarak sunulur.

Gerçek Yorumlar

Hastalarımızdan gelen üç farklı deneyim

"

"Gülüş tasarımı sürecinin her adımını VR ile gösterdiler, karar vermek çok kolaylaştı."

Selin K.
"

"İmplant operasyonum tam planlandığı dakika bitti, sonrasında WhatsApp ekibi sürekli yanımdaydı."

Onur T.
"

"Çok dilli ekip sayesinde Almanca tüm süreçleri anladım, hijyen protokolü kusursuz."

Martina L.

Randevu Merkezi

Koordinatörünüzle 2 dakikada dijital randevu planlayın

Kişiselleştirilmiş tedavi planı, uçtan uca yolculuk danışmanlığı ve seyahat desteği için formu doldurun. Klinik koordinatörümüz 15 dakika içinde dönüş yapar.

  • Çalışma Saatleri Hafta içi 09:00 - 20:00 · Cumartesi 10:00 - 16:00

İletişim

Klinik koordinatörleri 7/24 yanınızda

Randevu, tedavi planı ve ulaşım desteği için aşağıdaki kanallardan bize ulaşabilirsiniz.

Adres Bağdat Cad. 123, Kadıköy / İstanbul
Tanıtım videosu alanı